Siga-nos

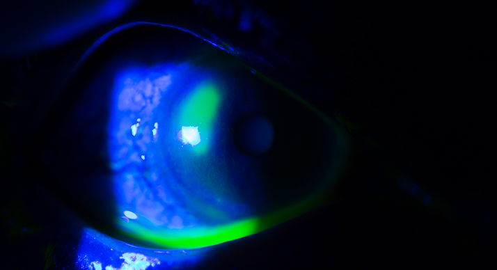
Lesões na córnea que geralmente causam dor e turvação visual. Se não tratadas podem cursar com perfuração e/ou extensão do processo infeccioso (quando o caso) para dentro do olho.
As principais causas são Infecções e processos Imunológicos.